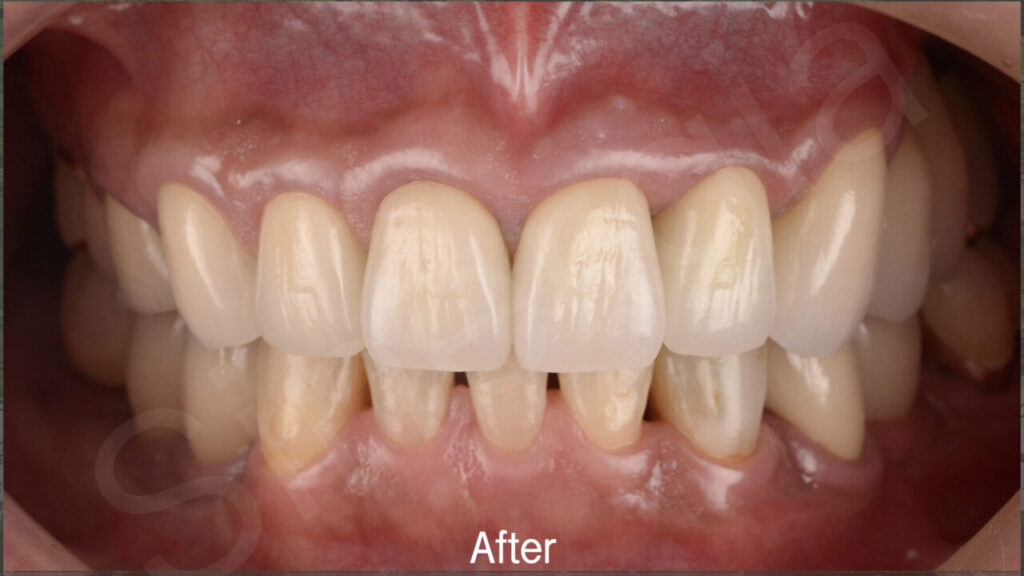
症例39 う蝕および欠損により咬合崩壊した患者に対して咬合再構成を行った症例



本症例の詳細
主訴:全体的に悪いので治療したい
診断名:虫歯を放置してボロボロなので治して欲しい
年齢 :44歳(初診時)
性別 :男性
治療期間:約5年
治療方法:歯周基本治療後、歯肉縁下う蝕により生物学的幅径が侵襲されている歯に対しては矯正的挺出および臨床歯冠長延長術を行なった。欠損部に対してはインプラント埋入を行なった。その際必要部位に対してはGBRを併用している。一連の補綴前処置終了後、インプラントに対してはアバットメントおよび上部構造を、歯に対しては補綴装置を装着し、補綴処置により咬合回復を行った。
費用:税込7,920,000円(3ヶ月〜6ヶ月毎のメインテナンスの受診を条件に、保証期間内の通常使用による破損には補修対応いたします)
デメリット・リスク:
・治療の途中で口腔衛生状態の悪化など、治療期間の延長、治療方針の変更、抜歯などが必要になることがあります。
・術中に、歯や骨の状態により手術内容が変更となることがあります。治療は生体の状態、反応をみながら進めて行きます。当然個人差があり、計画した期間が変更されることがあります。
・口腔清掃の不備、悪習癖の改善努力、予約日時を守らない方の場合、治療がうまく進行せず治療期間が長引くだけでなく、治療結果が得られないことがあります。
・歯冠修復治療後、口腔清掃の不備、歯ぎしり、喰いしばり等の悪習癖の悪化などにより虫歯や歯周病の再発、修復物の破損や歯根の破折、歯髄壊死等が起こった場合、再治療が必要となります
・骨増生、インプラント治療は外科処置を伴うため、手術後に、まれに唇、舌、頬、歯肉などの感覚麻痺が発生する場合があります。 また、近接歯、顎、上顎洞、鼻腔に対する炎症、疼痛、過敏症、組織治癒の遅延及び顔面部の内出血(紫斑や黄斑など)が起こる可能性もあります。術後は周囲の組織が腫れることがありますが、殆どの場合、1週間程度で傷口は治ります。
・外科処置後は喫煙、飲酒は正常な治療の妨げとなりますので術後1週間は控えてください。
・外科処置後に処方する薬剤の服用により吐き気、めまい、眠気、咳、お腹が緩くなるなどの一時的な副作用が現れることがあります。
・治療後の長期安定性は、口腔衛生状態、喫煙の有無、喫煙者の協力度、咬合力、咬み合わせ、骨量、歯肉量、歯磨きの状態等により変化します。また口腔内を維持するためには定期的なメインテナンスが必要になります。
・本症例はインプラント治療の一例であり、手術回数、手術方法、上部構造の固定方法、治療期間など症例ごとに異なります。また全ての症例が同様の結果となるわけではございません。
・欠損部に対する補綴治療は、部分床義歯、ブリッジ、ダイレクトブリッジ、インプラントなど、様々な選択肢がありますがどれが優れた手法というわけではなく、症例に応じて適切な手法を選択する必要があります。
・歯科治療は医院と患者様の二人三脚です。患者様の良くなりたいというお気持ちと、こちらの意向に対するご理解とご協力がなくては良好な結果は得られません。
患者様のご協力に心から感謝申し上げます。
福山市 歯医者 やまもと歯科


